Gehirn, Rückenmark und Nerven

Diagnostik: MRT/ DatScan-SPECT

Gehirn

Das Gehirn ist eine der am komplexesten aufgebauten Strukturen des Menschen. Diesem wird fachlich und technisch mit speziellen Verfahren in der Radiologie Rechnung getragen. Unterschieden wird hierbei neben der Beurteilung des Gehirns selbst in die Begutachtung der Gehirnhäute, der Hypophyse (=Hirnanhangsdrüse) sowie der Gefäße.
In fast allen Fällen wird zur Untersuchung die  MRT (Kernspintomographie bzw. Magnetresonanztomographie) eingesetzt. Die Technik der MRT ist hierbei genau auf jede Fragestellung abgestimmt. Das bedeutet, dass z. B. eine multiple Sklerose-Erkrankung ganz anders als ein Schlaganfall oder ein Hirntumor untersucht werden muss. In den meisten Fällen erfolgt die Untersuchung jedoch glücklicherweise nicht wegen solch schwerer Erkrankungen, sondern beispielsweise häufig wegen Kopfschmerzen oder Schwindel. In einigen Fälle ist eine Kontrastmittel-Gabe für die Untersuchung nötig. Der Radiologe wird hierüber vor der Untersuchung mit Ihnen sprechen.

Das Gehirn wird nur noch in Notfällen zum Ausschluss eines Schlaganfalles oder einer Hirnblutung in der CT (Computertomographie) untersucht, da diese Technik bei den meisten Fragestellungen der MRT unterlegen ist.

Geht es speziell um die Frage nach Vorliegen eines Morbus Parkinson, bieten wir in unserer nuklearmedizinischen Abteilung die Untersuchung des Gehirns mit  DatScan-SPECT an. Durch diese moderne und nebenwirkungsfreie Form der Szintigraphie kann die Frage nach Morbus Parkinson in fast allen Fällen eindeutig beantwortet werden.

 

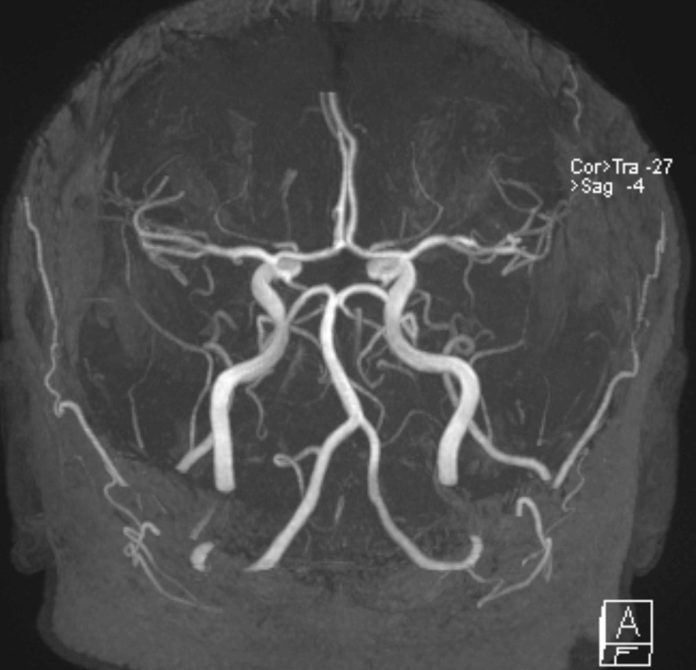
Gefäßdarstellung

Zur Darstellung der Gefäße im Kopf wurde die Technik der MR-Angiographie (kurz MRA, MR-Gefäßdarstellung) entwickelt. In dieser Technik können sowohl die blutzuführenden Gefäße (Arterien) als auch die blutableitenden Gefäße (Venen) dargestellt werden. Die Darstellung der Arterien wird vor allem bei Schlaganfällen oder Hirnblutungen benötigt, oder beispielsweise zur Darstellung von Aneurysmen (=Gefäßwandaussackungen). Die Darstellung der Venen erfolgt vor allem bei einem Verdacht auf eine Gerinnselbildung (sogenannte Sinus- oder Venenthrombose).

Rückenmark

Das Rückenmark stellt zusammen mit dem Gehirn das sogenannte zentrale Nervensystem dar. Das Rückenmark beginnt am Übergang des Kopfs zur Wirbelsäule und liegt im Wirbelkanal (Spinalkanal) der Wirbelsäule. Das untere Ende des Rückenmarks liegt beim Erwachsenen etwa auf Höhe des letzten Brustwirbelkörpers oder des ersten Lendenwirbelkörpers. Ein häufiger Anlass zur Untersuchung des Rückenmarks sind Bewegungsstörungen (Ataxie, Paresen) oder Gefühlsstörungen (Parästhesien). Abnützungen der Bandscheiben und kleinen Wirbelgelenke können zu Einengungen des Wirbelkanals und zur Quetschung des Rückenmarks führen. Auch entzündliche Veränderungen, wie beispielsweise bei einer multiplen Sklerose, können die Funktion des Rückenmarks beeinträchtigen. Tumoren des Rückenmarks sind seltene Erkrankungen, die jedoch schwere Funktionsstörungen verursachen können. Zur Untersuchung des Rückenmarks wird die MRT (Kernspintomographie bzw. Magnetresonanztomographie) eingesetzt. Um eine möglichst hochaufgelöste Darstellung des Rückenmarks zu erhalten wird das Rückenmark nicht im Gesamten untersucht, sondern meist der Anteil auf Höhe der Halswirbelsäule und der Brustwirbelsäule getrennt. Häufig ist bei Untersuchungen des Rückenmarks eine Kontrastmittelgabe nötig. Der Radiologe wird dies vorher mit Ihnen besprechen.

Nerven

Vom zentralen Nervensystem wird das periphere getrennt betrachtet. Das periphere Nervensystem umfasst hierbei alle Nerven des Körpers außerhalb des Kopfes und der Wirbelsäule. Häufig sind die Nervenstrukturen so klein, dass sie nicht selbst dargestellt werden können. Wichtig ist dann der Ausschluss von krankhaften Veränderungen im Verlauf der betroffenen Nerven. Die Untersuchung der peripheren Nerven erfolgt in der MRT. Das Untersuchungsprotokoll wird jeweils dem Nervenverlauf genau angepasst. Häufig ist die Gabe von Kontrastmittel nötig. Der Radiologe wird dies vorher mit Ihnen besprechen.

Gehirn, Rückenmark und Nerven: Unsere Experten

Dr. med. Florian B. Auer

Dr. med. Florian B. Auer

Facharzt für Radiologie und Neuroradiologie

Spezialgebiet: Neuroradiologie